你的牙如果是下列情况之一 不妨试试冷光美白
核心提示:
92%的美国成年人认为,拥有一个灿烂的微笑,也是一种非常重要的社会资本;美国人每年在牙科上花费的703亿美元中,一半与牙科美容有关。而在我国,有调查显示,逾五成人想改变牙齿颜色。
92%的美国成年人认为,拥有一个灿烂的微笑,也是一种非常重要的社会资本;美国人每年在牙科上花费的703亿美元中,一半与牙科美容有关。而在我国,有调查显示,逾五成人想改变牙齿颜色。
92%的美国成年人认为,拥有一个灿烂的微笑,也是一种非常重要的社会资本;美国人每年在牙科上花费的703亿美元中,一半与牙科美容有关。而在我国,有调查显示,逾五成人想改变牙齿颜色。专家称,我国有2亿~3亿人牙齿发黄发黑,冷光美白被认为是安全有效的牙齿美白方法。
如果你也是天生牙黄,或者你是下列人群中的一员,那么不妨试试铭医口腔美容专家推荐的方法——牙齿冷光美白!
龋齿

俗称虫牙或蛀牙,是由于在细菌的参与下,糖类食物酵解产酸而腐蚀牙体,久而久之造成牙齿变软,牙组织崩解,形成黑色龋洞。
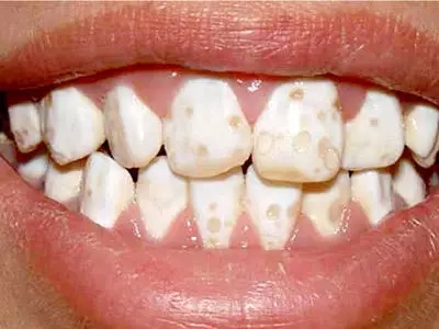
氟斑牙

主要是因为饮用水中氟含量过高所致。轻度者牙齿表面的牙釉质浑浊不透明,呈白垩色;中度者牙面呈黄色或棕黄色不规则形斑块;重症者除有色泽改变外,还伴有牙面釉质缺损
死髓牙

多因深龋细菌感染或直接暴力打击,牙齿意外折断,导致牙髓损伤坏死而变色。像这类情况做牙齿冷光美白,效果是很不错的。
色素沉积

一些有色食物包括茶、咖啡、酱油以及香烟等,时间久了,由于没有良好的清洁牙齿的习惯,这些色素会逐渐沉积甚至进入牙齿深层,使得牙齿的表面开始发黄、变黑。这就像白色的衣服长期被染色,如何清洗也无法使其恢复洁白一样,一般的洗牙方法难以使染色后的牙齿再恢复原有的白色。
四环素牙

在牙齿发育期间,特别是8岁以下儿童或孕妇,如果服用四环素类药物(如四环素、土霉素、强力霉素等),则易引起牙齿变色,称为四环素染色牙。这是因为四环素类药物可与牙齿组织中的钙离子结合形成稳定的四环素钙盐,随年龄增长,变色会逐渐加重,约在18岁以后趋向稳定。
牙釉质发育不全

牙齿在发育过程中,表层的釉质因缺乏钙、磷和维生素A、D等物质;或受有害因子的作用而造成的牙齿发育障碍。轻者牙齿表面的釉质呈不透明的白垩色,疏松粗糙,可因食物染色而呈黄褐色。重症者牙面釉质可出现实质性缺损,呈窝状或带状缺损,甚至无釉质覆盖。
牙齿冷光美白前需注意

牙齿冷光美白前一定要做快速牙齿检查,看有没有牙齿缺损、牙结石、蛀牙等,治好了再做美白。因为牙齿有缺损,意味着保护层失去了保护作用,对美白剂的刺激反应会比正常牙大。做烤瓷牙时如有白牙意愿,应先白牙再根据白牙后的牙齿颜色选择颜色适合的烤瓷牙,避免烤瓷牙与周围牙齿有色差。而箍牙和白牙的顺序应该是先箍牙、再白牙,因为箍牙期间不利牙齿清洁,牙色可能加重,箍牙后再美白,牙齿既整齐又洁白了。
- 上一篇:在长春做冷光美白牙齿会痛吗?
- 下一篇:长春做牙齿激光美白多少钱?







