全瓷贴面,穿越与美丽相距的0.3毫米
核心提示:
全瓷贴面是近年来除了仿生美容冠外盛行于欧美、日韩的另一种牙齿美容技术。全瓷贴面同样是美容牙科史上的里程碑,它吸取各种美牙技术的长处,突破传统贴面的各种弊端,将贴面
全瓷贴面是近年来除了仿生美容冠外盛行于欧美、日韩的另一种牙齿美容技术。全瓷贴面同样是美容牙科史上的里程碑,它吸取各种美牙技术的长处,突破传统贴面的各种弊端,将贴面
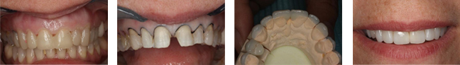
全瓷贴面是近年来除了仿生美容冠外盛行于欧美、日韩的另一种牙齿美容技术。全瓷贴面同样是美容牙科史上的里程碑,它吸取各种美牙技术的长处,突破传统贴面的各种弊端,将贴面在外观、功能上的优势发挥到卓绝,只需7天就能达到美牙的功效。全瓷贴面为此受到领航各地爱美人士的一致垂青,成为享誉全球美牙专家力荐的美牙方式。

谁至适合做全瓷贴面?
No1: 釉质发育不全引发的牙齿变色和牙釉质缺损。
No2: 中、重度四环素牙等无法通过美白改变的。
No3: 牙缝隙及轻度牙列不齐等牙齿畸形状况。
No4: 失败烤瓷牙或对烤瓷颜色不满意者。
No5: 对于牙齿小面积崩裂也有很好的修复效果。

白玉全瓷贴面的优点
时间短: 只需七天,来医院两次就能美牙靓齿。
效果好: 颜色逼真、形态自然,与天然牙颜色非常相近
寿命长: 瓷贴面与传统树脂贴面相比寿命长、强度大。
少磨牙: 瓷贴面磨牙量可降到至低仅需磨出0.5毫米。
无痛苦: 瓷贴面操作过程精细,无不舒适感,无痛苦。
全瓷贴面后注意事项:
1、建议使用软毛牙刷、电动牙刷活WATERPIK冲牙器;刷牙方法要正确,不能太用力刷牙;正确使用牙线维护空腔卫生。
2、避免吃含糖、酸过多的食物;不可以吃过硬食物(冰块、螃蟹、小核桃等);咖啡、茶要控制量,碳酸饮料尽量不要喝。
3、定期复诊、洗牙抛光。
4、尽量少抽烟,一面形成烟渍。
- 上一篇:选择全瓷牙修复缺损的门牙大概需要多少钱?
- 下一篇:长春口腔专家揭秘全瓷贴面







