吉林铭医种植牙修复牙齿的优点有哪些呢?
核心提示:
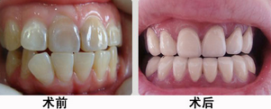
牙齿缺损会使人一开口说话美貌瞬时减分,牙齿缺损唯有通过牙齿整形来进行修复了。吉林铭医长春口腔专家指出牙齿损失需要及时到医院做缺损牙齿的修复以免使邻牙病变,目前效好的就是种植牙,那么种植牙为什么效果好呢,它包括哪些优势呢?下面我们就随同铭医长春口腔整形专家一同来看看
牙齿缺损会使人一开口说话美貌瞬时减分,牙齿缺损唯有通过牙齿整形来进行修复了。吉林铭医长春口腔专家指出牙齿损失需要及时到医院做缺损牙齿的修复以免使邻牙病变,目前效好的就是种植牙,那么种植牙为什么效果好呢,它包括哪些优势呢?下面我们就随同铭医长春口腔整形专家一同来看看
牙齿缺损会使人一开口说话美貌瞬时减分,牙齿缺损唯有通过牙齿整形来进行修复了。吉林铭医长春口腔专家指出牙齿损失需要及时到医院做缺损牙齿的修复以免使邻牙病变,目前效好的就是种植牙,那么种植牙为什么效果好呢,它包括哪些优势呢?下面我们就随同铭医长春口腔整形专家一同来看看吧。

种植牙优势有三如下介绍:
1、稳固牢靠
种植牙的种植体是用纯钛金属制作,可以与牙槽骨骨结合很好连接,坚固的程度是可以像真牙一样,根深蒂固,所以稳固。
2、原理科学
种植牙采用的是生物力学原理,让种植牙可以向真牙一样可以有效的承受强大的力量,咀嚼能力得到极大的提升。
3、保护邻牙
种植牙在安装过程中有自己独立牙根固位,不需要依靠真牙来加以固位,对邻牙没有任何伤害,不但没有伤害还可以有效的防止真牙移位或牙齿松动。
以上就是铭医长春口腔专家为您介绍的牙齿整形手术,如果您对牙齿整形手术还有其他的问题或者疑问的话,您可以点击咨询我们的在线华专家。在这里,铭医温馨提示,口腔修复一定要选择正规专业的机构。
- 上一篇:关于种植牙,你了解多少
- 下一篇:吉林铭医种植牙优势







