长春牙齿美白一般多少钱?
核心提示:
抽烟、爱吃甜食、不经常刷牙都能造成牙齿泛黄。满口的黄牙让人不敢笑,不敢露齿。人们常说,现代的社会是看脸时代,这说明人们对美的要求越来越强烈,从人的穿着打扮到外貌。在当下这么先进的牙齿美白整形时代,如果你还带着一口黄牙到处走,那就太不应该。 据长春铭医整形美容医院的专家介
抽烟、爱吃甜食、不经常刷牙都能造成牙齿泛黄。满口的黄牙让人不敢笑,不敢露齿。人们常说,现代的社会是看脸时代,这说明人们对美的要求越来越强烈,从人的穿着打扮到外貌。在当下这么先进的牙齿美白整形时代,如果你还带着一口黄牙到处走,那就太不应该。 据长春铭医整形美容医院的专家介
抽烟、爱吃甜食、不经常刷牙都能造成牙齿泛黄。满口的黄牙让人不敢笑,不敢露齿。人们常说,现代的社会是看脸时代,这说明人们对美的要求越来越强烈,从人的穿着打扮到外貌。在当下这么先进的牙齿美白整形时代,如果你还带着一口黄牙到处走,那就太不应该。

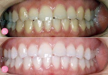
据长春铭医整形美容医院的专家介绍,现在长春牙齿美白的方式很多,而且都很方便快捷不会耽误求美者太多时间,并且无痛苦,对人的身体没有伤害。长春牙齿美白一般多少钱?这个是没法统一定价的,要受到多个因素的影响。
1、长春牙齿美白多少钱受到美白的方式影响
长春牙齿美白有多种方式,例如瓷贴面、冷光美白、美容冠、烤瓷牙,每个人所适合的美白方式不同,价格也不同,铭医的专家提醒,一定要选择适合自己的方式。
2、长春牙齿美白多少钱受到求美者的自身情况影响
有的人牙黄比较严重,而有的则是轻度的;有的需全部美白,有的只需美白个别颗,价格自然也是不尽相同的。
3、长春牙齿美白多少钱受到医院的影响
铭医这样大型专业的整形医院,所有的设备都是当下先进的,医生也是经验丰富的,材料更是从国外进口的明星产品,跟普通小诊所的价格肯定不同。但是要想得到更好的效果,一定要选择专业正规有资质的医院。
》》》推荐阅读:洁牙美白的方法有哪些?《《《
- 上一篇:洁牙美白的方法有哪些?
- 下一篇:长春洗牙要多少钱一次?







