影响烤瓷牙寿命的几大因素
核心提示:
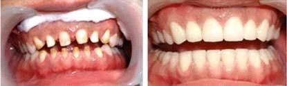
为什么有些烤瓷牙用的时间比较长,有些烤瓷牙用的时间比较短呢?让吉林铭医整形美容医院的专家介绍一下。
为什么有些烤瓷牙用的时间比较长,有些烤瓷牙用的时间比较短呢?让吉林铭医整形美容医院的专家介绍一下。
临床上有许多患者会问我烤瓷牙能使用多少年?有些患者期望能够维持一辈子。
那么为什么有些烤瓷牙用的时间比较长,有些烤瓷牙用的时间比较短呢?让吉林铭医整形美容医院的专家介绍一下。
1 患者本身的基牙状态
这点是至重要的,也是患者朋友经常忽略的,本身的基牙状态是基础,烤瓷牙是在本身的基牙基础制作的。
2 医生的技术水平
如今的社会竞争那么激烈,至根本的还是人的竞争,什么设备、器械、材料等等都可以在短时间内得到改善和提高,惟独人改善和提高是一个漫长的过程,没有多年的功夫难以达到一定的水准。有些患者会把注意力放在诊所的规模、档次、设备好坏和烤瓷牙所用材料上,只关心自己做那种烤瓷牙是什么材料的,对医生的选择反而考虑则比较少。实际上,医生的技术永远是排在第一位的。技术高超的医生,才能制作出高品质的烤瓷牙。没有好的技术,再好的、昂贵的材料也出不了好的效果。

3 烤瓷牙的材料
不管烤瓷牙做得如何好,它毕竟不是从身体里长出来的,材料好一些时间自然呢长。
4 烤瓷牙的制作
烤瓷牙制作好坏直接影响到烤瓷牙质量,这就与厨师做菜一样。
5 使用过程中的保养
有些人的口腔卫生保健意识不高,经常不刷牙或是长期刷牙不认真,烤瓷牙的使用寿命就会缩短。这就像养车一样,有些人保养车保养得特好,有些有些人保养车保养得很差,同样的车几年下来,可能完全不一样了。做好烤瓷牙以后更应该注意保护牙齿,保持半年到诊所检查快速,做个洁治,有了什么问题要及时处理。
其实,影响烤瓷牙的因素还有很多,有任何不适都需要与牙医取得及时联系。聪明的患者,会隔一段时间去牙医那一趟,让牙医来保养烤瓷牙。
- 上一篇:为什么二氧化锆烤瓷牙贵?
- 下一篇:什么人需要在长春铭医做烤瓷牙?







