矫正牙齿不齐在长春需要多少钱?
核心提示:
吉林铭医整形美容医院专家表示,牙齿不齐做矫正多少钱根据不同的情况,价格不同。因为每个患者的情况不同,所以产生的费用不同。
吉林铭医整形美容医院专家表示,牙齿不齐做矫正多少钱根据不同的情况,价格不同。因为每个患者的情况不同,所以产生的费用不同。
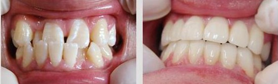
牙齿不齐影响到外观形象,影响事业以及爱情的例子很多,让他们的生活很是苦恼。牙齿不齐的患者都会选择做矫正得以改变,那么牙齿不齐矫正贵不贵,通常需要多少钱呢?
牙齿不齐矫正要多少钱?
吉林铭医整形美容医院专家表示,牙齿不齐做矫正多少钱根据不同的情况,价格不同。因为每个患者的情况不同,所以产生的费用不同,具体如下:

1、牙齿的畸形程度影响价格。牙齿不齐的畸形情况不同,有些只是轻微不齐,然而有些患者则是严重的牙齿不齐,那么矫正难度大,时间长,当然费用也会相对高些。
2、选择的矫正器影响价。现在市面上引起了很多牙齿矫正的方法,传统金属正畸变成透明隐形正畸,再由透明隐形正畸慢慢变成隐形无托槽正畸,选择不同的矫正器当然效果以及价格是不一样的。
3、患者是否需要拔牙影响价格。,有些正畸是需要拔牙的,比如牙齿拥挤做矫正,医生通常使用拔牙的方式腾出空间,让牙齿重新回到正确的位置上。
吉林铭医整形美容医院专家温馨提示:影响牙齿不齐矫正价格的不确定因素有很多,因此无法确定具体的费用。要想矫正的效果好,患者朋友除了要关系牙齿矫正的费用之外同样牙齿矫正选择牙科医院也很重要,专业的牙科医院做矫正效果更理想。如您对牙齿不齐矫正还有什么疑问的话可点击在线咨询,我们的在线专家将会为您做更为详细的介绍。
- 上一篇:牙齿拥挤怎么矫正比较好呢?
- 下一篇:正畸治疗会产生的影响







